病例分享--人工关节表面假体置换术
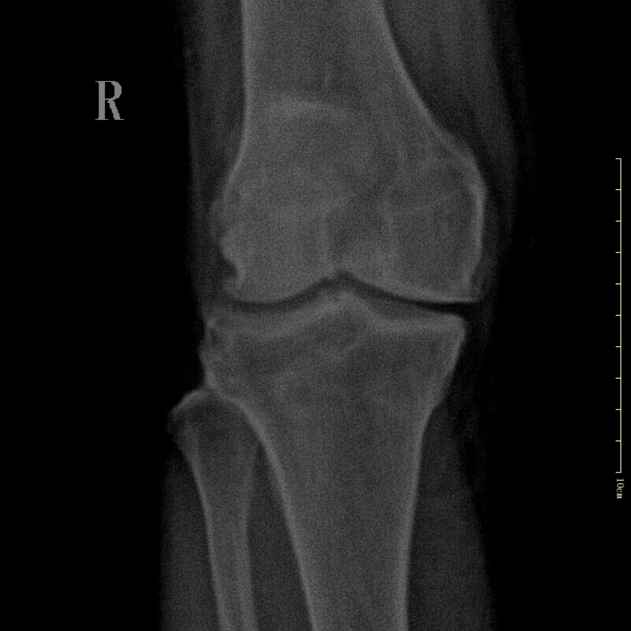
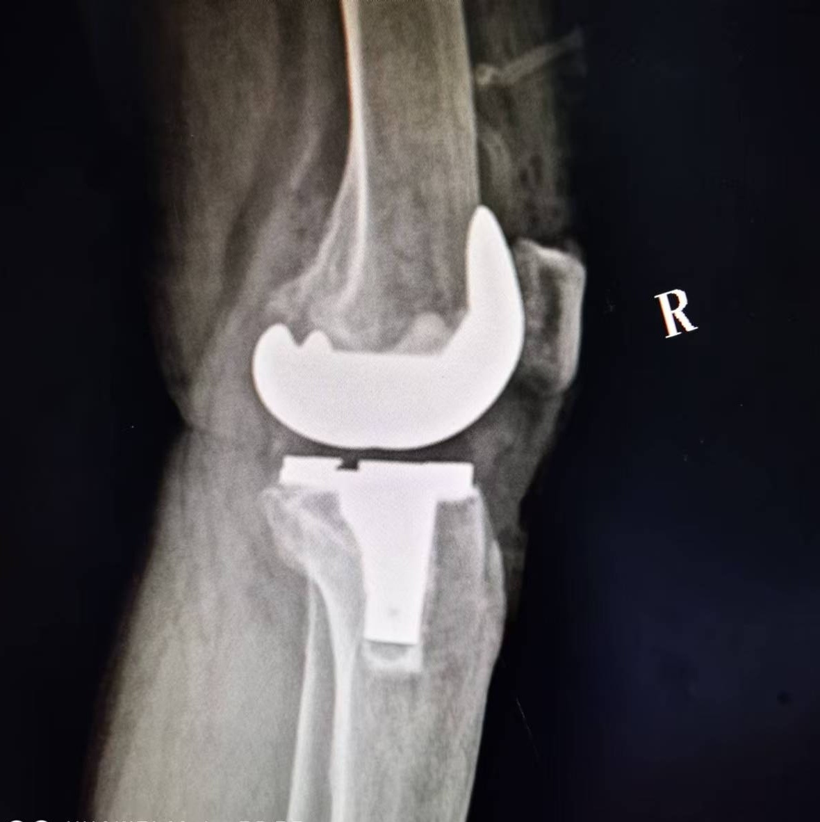
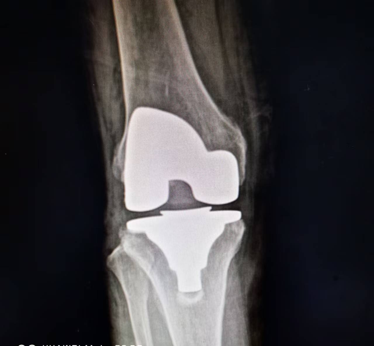
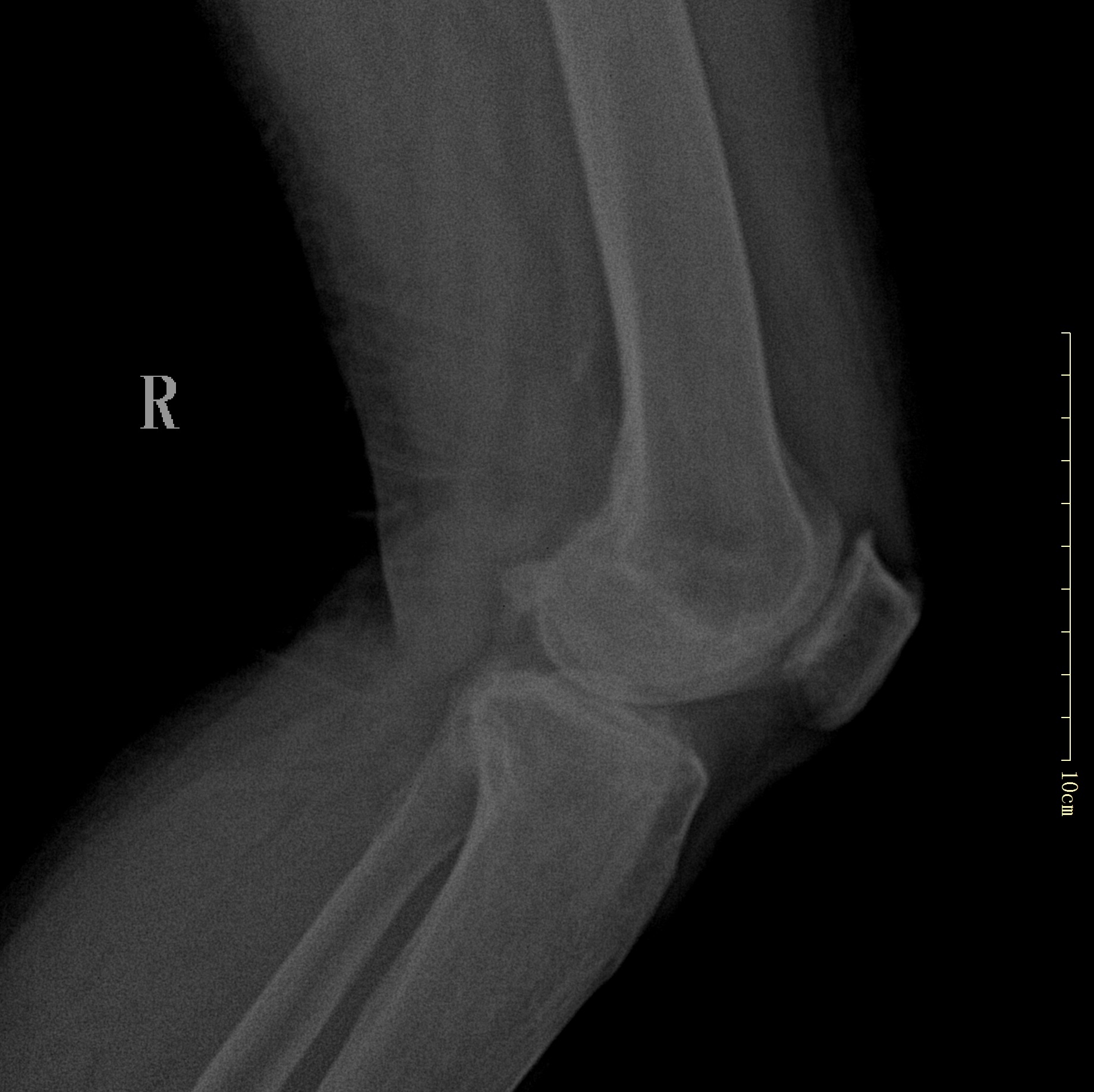
刚刚,我院骨科团队又成功完成了一台膝关节置换手术。老年女性患者,右膝退行性骨关节病多年,膝关节肿胀疼痛明显,在我院行右膝人工关节表面假体置换术。


术 前

术 后
术后,我们将对患者进行严密的观察和护理,耐心地向患者及家属解释术后注意事项,指导患者进行康复训练。这些训练包括肌肉训练、关节活动训练、下肢抬高训练、步态训练、负重训练等,以促进患者膝关节周围肌肉的力量和强度恢复,增强膝关节的稳定性,并防止深静脉血栓的形成。
术后5天,患者恢复良好,可以下地行走。
膝关节置换手术,不仅是一项技术,更是一份责任,一份对生命无限尊重与热爱的承诺。