您好!欢迎访问公主岭阳光医院官网!
您现在的位置: 首页>典型案例

生死时速!化脓性胆管炎+结石,幸好没拖成“夺命急症”

时间:2026-03-06 阅读次数: 栏目:典型案例

生死时速

化脓性胆管炎+结石

幸好没拖成“夺命急症”

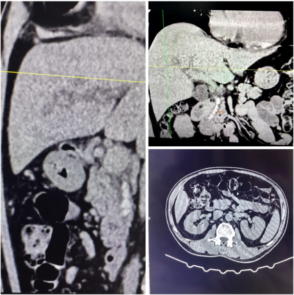
患者因上腹剧痛、皮肤眼睛发黄入院,

→ →

经检查确诊为:感染性休克、急性化脓性胆管炎、梗阻性黄疸、胆总管结石、急性化脓性胆囊炎、糖尿病,病情危急!


4UB$}R$[P}3JTV@_FIF_`9Q.png

化脓性胆管炎可不是小病——胆管里细菌疯狂繁殖,胆汁淤堵成“毒窝”,会引发感染性休克、肝衰竭、多器官衰竭,甚至猝死!

→ →

幸好及时就医,做了腹腔镜胆囊切除术、胆总管切开术、胆道镜取石术、T管引流术、腹腔引流术的微创手术。

DX[E@TZRG{H]]H8MR{DB3)M.png 


一次性解决胆囊和胆管结石,把“毒源”彻底清除。手术顺利,现在术后恢复中~


温馨提示

NO.1

别忽视右上腹疼痛、黄疸、发热(尤其是高烧+寒战+黄疸,就是“Charcot三联征”,化脓性胆管炎典型信号)

NO.2

咽干咽痛常用药有地喹氯铵、六神丸、清咽滴丸、疏风解毒胶囊等。

NO.3

有类似症状别硬扛,化脓性胆管炎进展快,拖延=拿命赌!

NO.4

提醒身边的TA:健康无小事,警惕“小石头”引发的“大灾难”!

阳光医院普外科

联系电话:

0431-76297040

联系地址:

公主岭市迎宾路1128号