生死时速
化脓性胆管炎+结石
幸好没拖成“夺命急症”
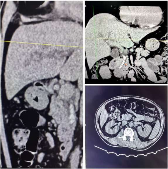
患者因上腹剧痛、皮肤眼睛发黄入院, 经检查确诊为:感染性休克、急性化脓性胆管炎、梗阻性黄疸、胆总管结石、急性化脓性胆囊炎、糖尿病,病情危急! 化脓性胆管炎可不是小病——胆管里细菌疯狂繁殖,胆汁淤堵成“毒窝”,会引发感染性休克、肝衰竭、多器官衰竭,甚至猝死! 幸好及时就医,做了腹腔镜胆囊切除术、胆总管切开术、胆道镜取石术、T管引流术、腹腔引流术的微创手术。
一次性解决胆囊和胆管结石,把“毒源”彻底清除。手术顺利,现在术后恢复中~
温馨提示 NO.1 别忽视右上腹疼痛、黄疸、发热(尤其是高烧+寒战+黄疸,就是“Charcot三联征”,化脓性胆管炎典型信号) NO.2 咽干咽痛常用药有地喹氯铵、六神丸、清咽滴丸、疏风解毒胶囊等。 NO.3 有类似症状别硬扛,化脓性胆管炎进展快,拖延=拿命赌! NO.4 提醒身边的TA:健康无小事,警惕“小石头”引发的“大灾难”! 阳光医院普外科 联系电话: 0431-76297040 联系地址: 公主岭市迎宾路1128号